Коли пухлина досягає 4 стадії, рак мозку перетворюється на невблаганного супротивника, що стискає найскладніший орган людського тіла. Гліобластома, найпоширеніша форма на цьому етапі, розростається хаотично, проникаючи в здорові тканини й викликаючи набряк, який тисне на центри дихання та серцебиття. Пацієнти часто відходять у вічність через поступову кому, коли мозок просто вимикається від перевантаження – дихання сповільнюється, серце слабшає, і кінець настає мирно, без різких болів. Цей процес рідко буває раптовим; тижні чи місяці передсмертних змін дають час на прощання.
Уявіть мозок як заплутаний лабіринт, де кожна клітина – ниточка долі. На 4 стадії пухлина проростає скрізь, порушуючи зв’язки, й тіло реагує хаосом: судоми, апатія, забудькуватість. За даними досліджень у Neuro-Oncology від NIH, 95% хворих у останні дні впадають у сонливість, яка переходить у кому. Це не просто втома – це мозок, що економить сили, відпускаючи непотрібне.
Така реальність лякає, але знання про неї дарує силу. Родичі, які розуміють знаки, можуть полегшити шлях, перетворюючи останні моменти на острівець спокою. Далі розберемо все по поличках: від перших тріщин у фасаді здоров’я до тихої тиші.
Гліобластома як головний винуватець 4 стадії
Рак мозку не завжди починається з нуля – часто це гліобластома, агресивна пухлина 4-го ступеня за класифікацією ВООЗ. Вона виникає з гліальних клітин, тих скромних “опорників” нейронів, і мутує в монстра, що множиться вдвічі швидше за нормальні. На 4 стадії межі стираються: пухлина інфільтрує мозок, як коріння бур’яну, викликаючи набряк і некроз. Розмір може сягати кількох сантиметрів, але справжня загроза – не габарити, а тиск усередині черепа.
Чому саме мозок? Тут немає лімфатичних судин для метастазів, тож рак “застрягає” локально, але руйнує все зсередини. Фактори ризику – вірусні інфекції, радіація чи генетика (мутації IDH чи EGFR), але в 90% випадків причина загадка. За статистикою Cleveland Clinic (2025), діагноз ставлять у 50-70 роках, частіше чоловікам. Симптоми стартують банально: головний біль, нудота, але на 4 стадії – повний шторм.
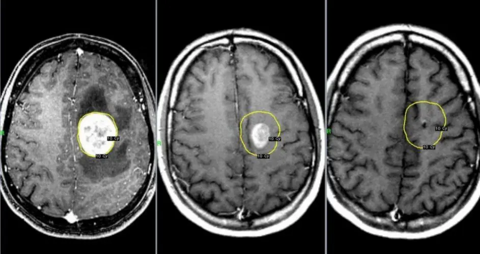
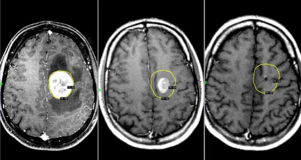
Діагностика – МРТ з контрастом, біопсія. Без неї важко відрізнити від інсульту чи деменції. Раннє виявлення рідкість; більшість приходить, коли пухлина вже панує.
Прогресування: шлях від діагнозу до фіналу
З моменту виявлення до кінця минає 12-18 місяців за лікуванням – стандарт хірургії, радіації й хіміотерапії темозоломідом. Без неї – 3-6 місяців. Перші місяці: операція видаляє 90% пухлини (якщо можливо), стероїди зменшують набряк. Пацієнт повертається до рутини, але рецидив неминучий – у 95% протягом року.
Далі – рецидив: пухлина повертається агресивнішою, резистентною до ліків. Симптоми наростають хвилею: від легкої забудьковості до паралічу. Набряк мозку (едема) – ключовий гравець, бо череп жорсткий, й тиск росте експоненційно. Гідроцефалія блокує ліквор, посилюючи хаос.
Останні 1-3 місяці – перехід до паліативу. Тіло слабшає, мозок “вимикає” периферійне: апетит зникає, сон поглинає дні. Це не поразка – природний механізм, що береже енергію для серця й легенів.
Симптоми фінальної стадії: що відчуває хворий
Кінцева фаза – суміш фізичного й психічного розпаду. Сонливість панує: хворий спить 20 годин на добу, реагуючи лише на голоси близьких. Дисфагія ускладнює ковтання, ризик аспірації високий – їжа йде в легені, провокуючи пневмонію.
Перед списком ключових ознак: ці зміни не лінійні, залежать від локалізації пухлини. Лобова доля – апатія, скроневі – галюцинації. Ось найпоширеніші, за даними The Brain Tumour Charity:
- Порушення свідомості (95% випадків): від сплутаності до коми. Хворий не впізнає рідних, але чує – говорите лагідно.
- Судоми (65%): генералізовані чи фокальні, керуються антиконвульсантами. Може бути першим сигналом наближення кінця.
- Дихальні зміни: поверхневе, хрипле дихання з паузами. “Смертельний хрип” – від слизу, не турбує хворого.
- Втрата апетиту й ваги: метаболізм сповільнюється, тіло не потребує їжі. Примусове годування шкодить.
- Неврологічні дефіцити: параліч, сліпота, нетримання. Шкіра холоне, кінцівки синіють.
- Психічні прояви: агітація, маячення, депресія. Морфін заспокоює.
Ці симптоми не болісні – біль контрольований стероїдами й опіоїдами. Хворий часто в ейфорії чи байдужості, мозок захищає себе. Родичі страждають більше, бачачи трансформацію коханого.
Причини смерті: чому серце зупиняється
Смерть – не від “рак їсть мозок”, а від каскаду: пухлина + набряк → підвищений внутрішньочерепний тиск → herniation (видавлювання стовбура мозку). Це 73% випадків, за PMC-дослідженнями NIH. Стовбур контролює дихання й серце – тиск блокує, й все гасне.
Інші шляхи: судоми (3-5%), кровотеча в пухлину, інфекції (пневмонія від аспірації, 10%). Рідко – тромбоемболія чи сепсис. Процес триває години-дні в комі, без страждань. Серце зупиняється першим, дихання – останнім.
Ви не повірите, але багато йде уві сні – спокійно, з посмішкою. Близькі описують: “Він просто заснув глибше”.
Паліативна допомога: мистецтво полегшення
Коли лікування марне, паліатив бере естафету. Мета – якість, не кількість днів. Стероїди (дексаметазон) зменшують набряк, антиепілептики – судоми, морфін – тривогу. Госпіс чи домашній догляд: катетери, кисень, психотерапія.
В Україні – центри як “Спізженко” чи хоспіси МОЗ. Сучасне: CAR-T клітини, вакцини (клінічні випробування 2026), але на 4 стадії – симптоматика.
| Тип лікування | Середня виживаність | 5-річна виживаність |
|---|---|---|
| Без лікування | 3-6 місяців | <1% |
| Хірургія + радіація + хімія | 12-18 місяців | 5-10% |
| З генетичними мутаціями (IDH) | 20-30 місяців | 20-30% |
| Клінічні випробування 2025-2026 | До 24+ місяців | До 15% |
Дані з Cleveland Clinic та ACS (2025). Молодий вік, повне видалення – кращі шанси. Таблиця показує: терапія подовжує життя вдвічі.
Поради близьким у догляді за хворим
Догляд – це любов у дії. Почніть з розмови: обговоріть хоспіс заздалегідь. Щодня:
- Моніторте дихання – хрипи? Викличте лікаря за антисекреторними.
- Готуйте рот: чистіть щіткою, зволожуйте губи – сухість мучує.
- Біль? Морфін краплями, не бійтеся залежності на фініші.
- Емоції: грайте музику, тримайте руку – вони чують.
- Себе бережіть: чергування, психолог.
Ви не лікарі, але ваша присутність – найкращий знеболювач. Багато хто каже: “Дякую, що були поруч”.
Історія з практики: 58-річний Іван, гліобластома лобової долі. Після рецидиву – апатія, але родина читала йому вірші. Останній тиждень – кома, смерть уві сні. “Він пішов легко”, – дружина.
Інша грань: молоді борці. У 2026 клініки тестують DC-вакцини – перші успіхи, 20% живуть довше. Тренди: генна терапія, ІІ для прогнозів. Надія мерехтить.
Кожен день з хворим – скарб. Пухлина краде час, але не пам’ять. Тримайтеся разом, бо після дощу завжди веселка спогадів.
Найважливіше: говоріть про почуття – це зцілює душі обох.
